Jesteś tutaj:

Metamorfoza Aleksandry

Metamorfozę uśmiechu Aleksandry rozpoczęliśmy od deprogramacji, która pozwala między innymi na określenie prawidłowej pozycji żuchwy i znalezienie właściwego układu zębów górnych względem dolnych.
Aby Ola jeszcze przed rozpoczęciem leczenia była pewna, że efekt końcowy będzie zgodny z jej oczekiwaniami, zespół lek. dent. Łukasza Lassmanna cyfrowo zaprojektował jej nowy uśmiech, uwzględniając w projekcie precyzyjnie dopasowane licówki. Efekt? Nowy, pełen blasku uśmiech! Sami zobaczcie!

DSM_Metamorfoza_063_IMG_01
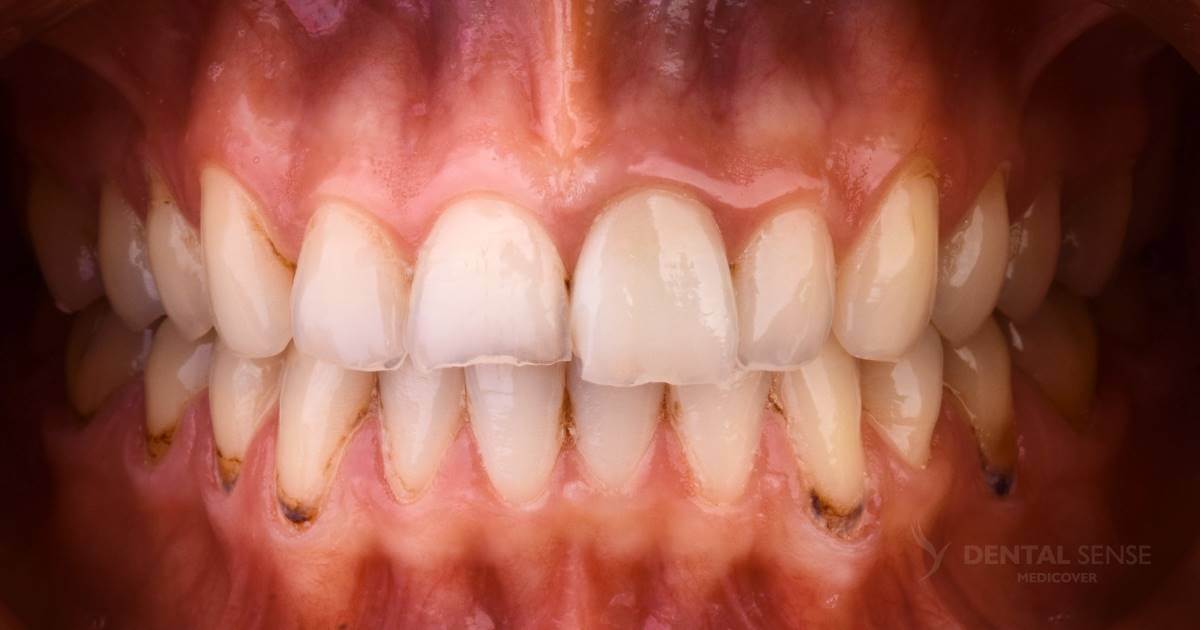
PRZED
DSM_Metamorfoza_063_IMG_02
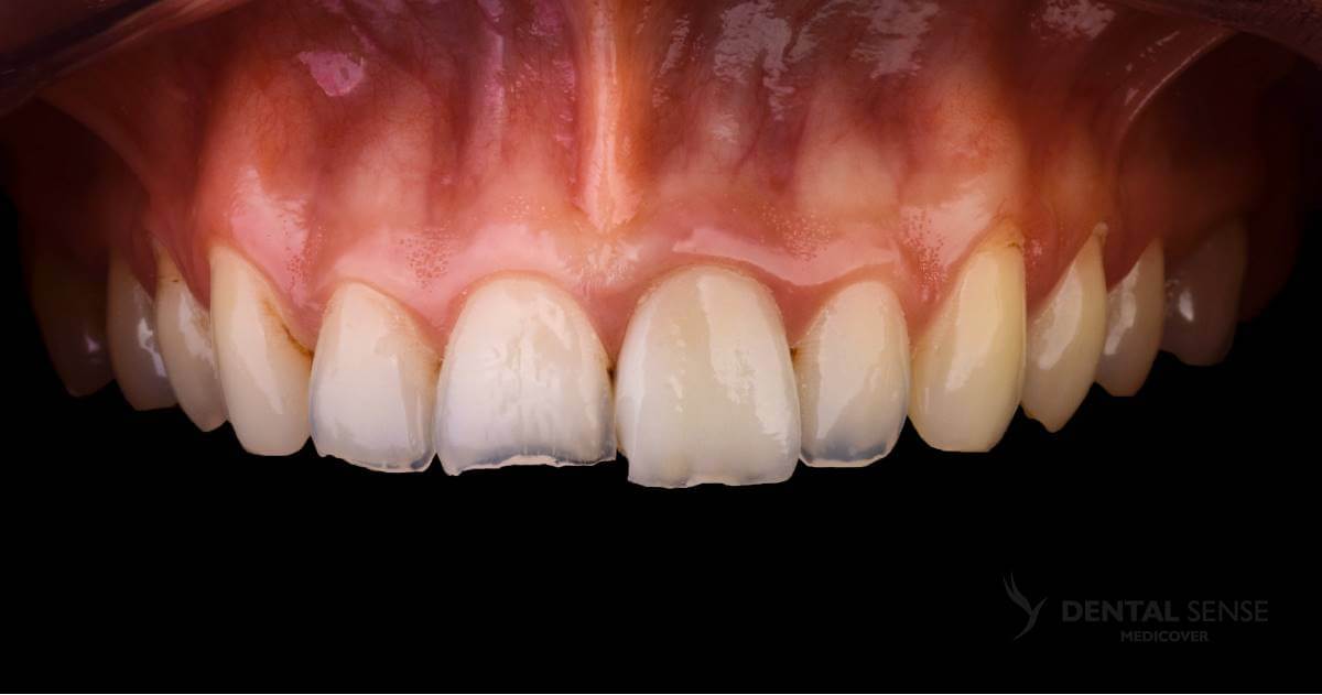
PO
DSM_Metamorfoza_063_IMG_03
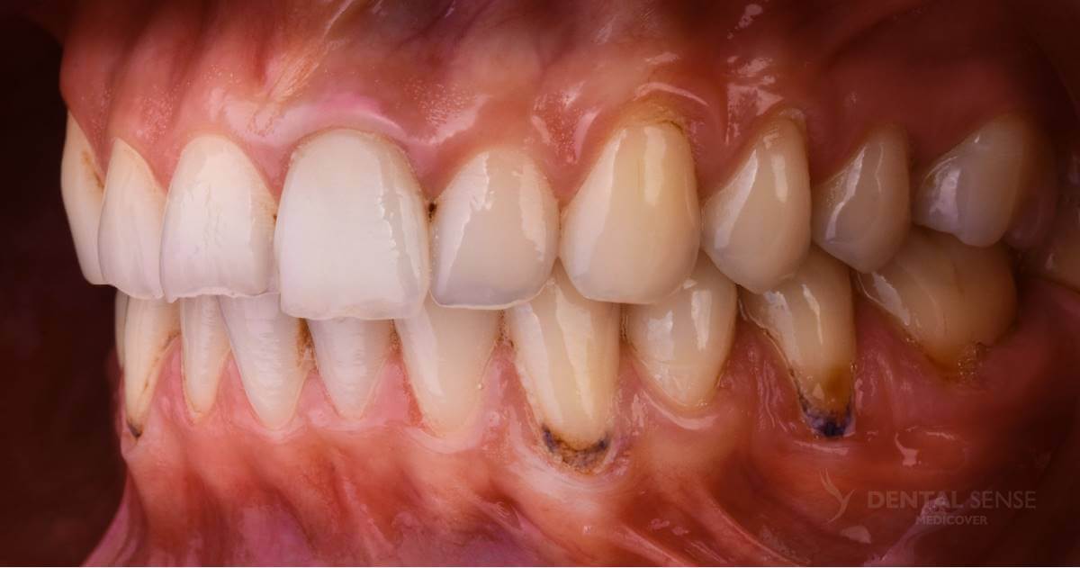
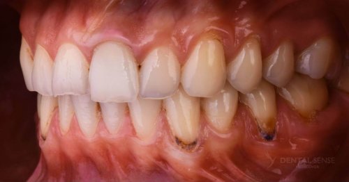
PRZED
DSM_Metamorfoza_063_IMG_04
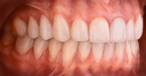
PO
DSM_Metamorfoza_063_IMG_05
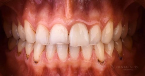
PRZED
DSM_Metamorfoza_063_IMG_06
PO
DSM_Metamorfoza_063_IMG_07
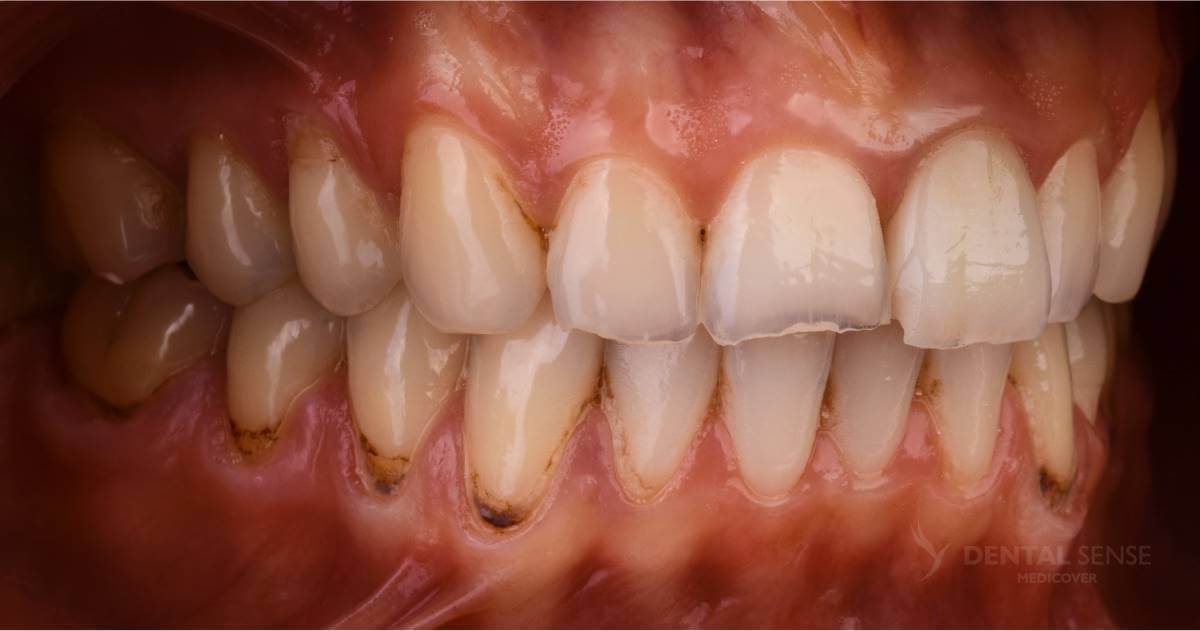
PRZED
DSM_Metamorfoza_063_IMG_08
PO
DSM_Metamorfoza_063_IMG_09
PRZED
DSM_Metamorfoza_063_IMG_10
PO

Zespół

Zabiegi

Cena zabiegu

Ocena 3 z 5

Czas zabiegu

Ocena 2 z 5