Jesteś tutaj:

Metamorfoza

DSM_Metamorfoza_097_IMG_01
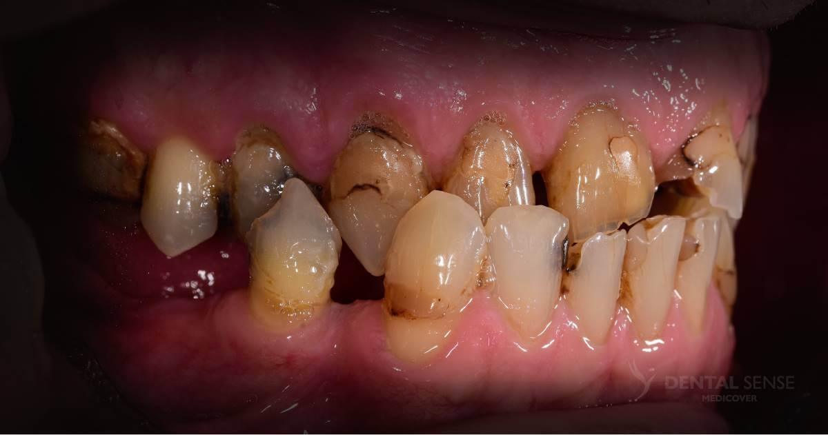
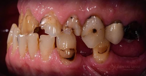
PRZED
DSM_Metamorfoza_097_IMG_02
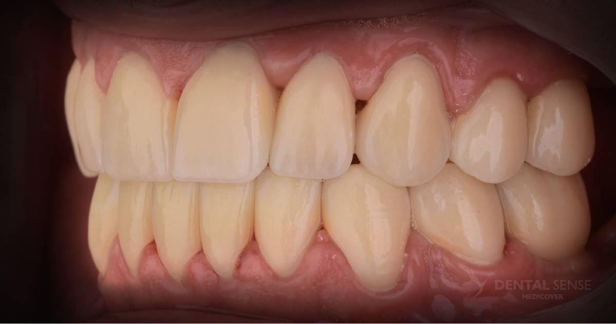
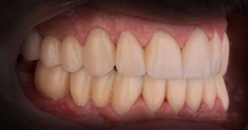
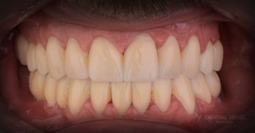
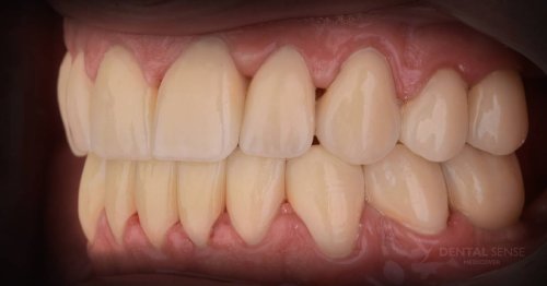
PO
DSM_Metamorfoza_097_IMG_03
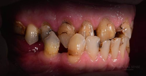
PRZED
DSM_Metamorfoza_097_IMG_04
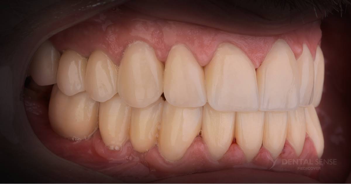
PO
DSM_Metamorfoza_097_IMG_05
PRZED
DSM_Metamorfoza_097_IMG_06
PO
DSM_Metamorfoza_097_IMG_07
PRZED
DSM_Metamorfoza_097_IMG_08
PO

Zespół

Zabiegi

Cena zabiegu

Ocena 3 z 5

Czas zabiegu

Ocena 3 z 5