Jesteś tutaj:

Metamorfoza

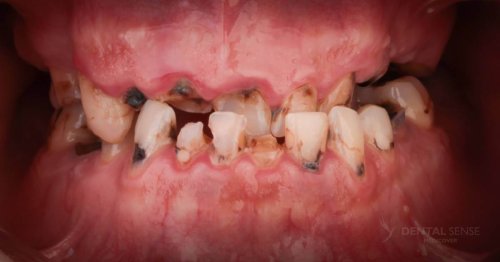
DSM_Metamorfoza_102_IMG_01
PRZED
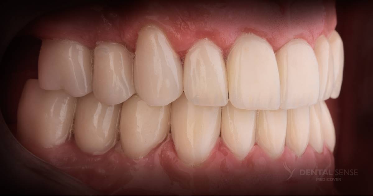
DSM_Metamorfoza_102_IMG_02
PO
DSM_Metamorfoza_102_IMG_03
PRZED
DSM_Metamorfoza_102_IMG_04
PO
DSM_Metamorfoza_102_IMG_05
PRZED
DSM_Metamorfoza_102_IMG_06
PO

Zespół

Zabiegi

Czas zabiegu

Ocena 3 z 5