Jesteś tutaj:

Metamorfoza Andrzeja

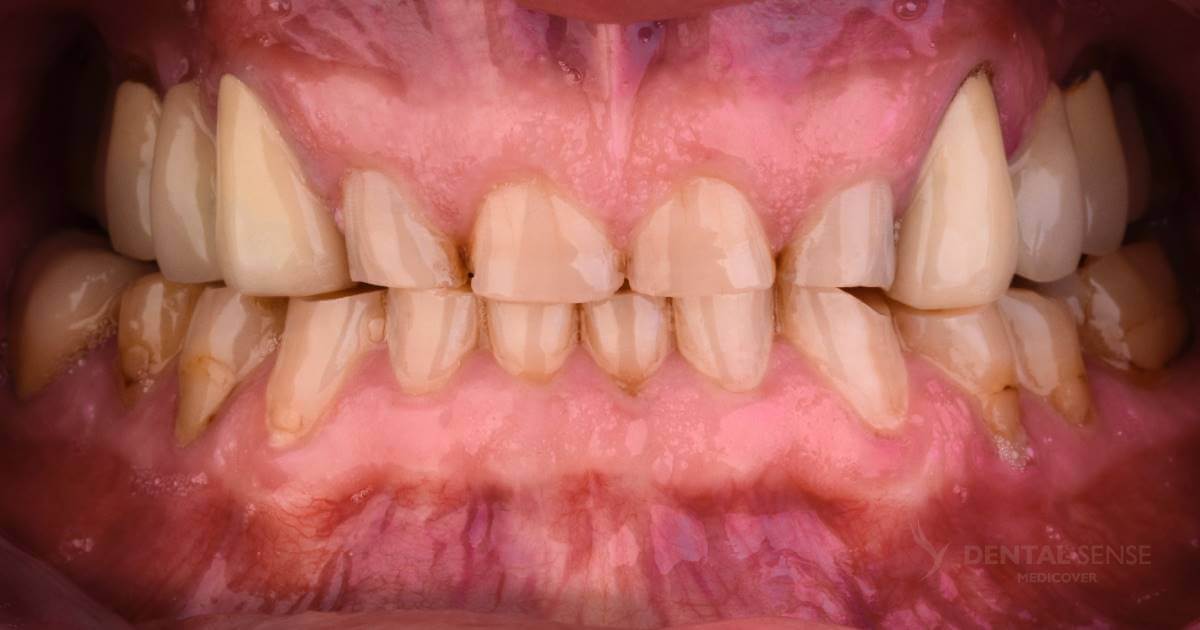
Każdy nowy uśmiech to dla nas ogromna satysfakcja i powód do dumy, dlatego tak chętnie dzielimy się efektami naszej pracy. Cyfrowe projektowanie uśmiechu, wszczepienie implantów oraz zastosowanie koron, to tylko niektóre z działań, które wykonał zespół lek. dent. Łukasza Lassmanna by zwrócić Andrzejowi zdrowy i piękny uśmiech.

DSM_Metamorfoza_055_IMG_01
PRZED
DSM_Metamorfoza_055_IMG_02
PO
DSM_Metamorfoza_055_IMG_03
PRZED
DSM_Metamorfoza_055_IMG_04
PO
DSM_Metamorfoza_055_IMG_05
PRZED
DSM_Metamorfoza_055_IMG_06
PO

Zespół

Zabiegi

Cena zabiegu

Ocena 3 z 5

Czas zabiegu

Ocena 4 z 5