Jesteś tutaj:

Metamorfoza Benedicte

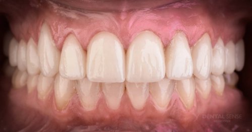
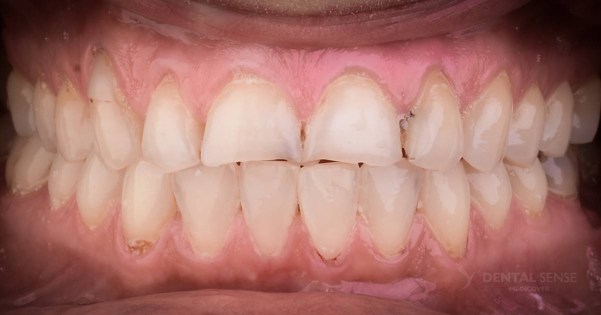
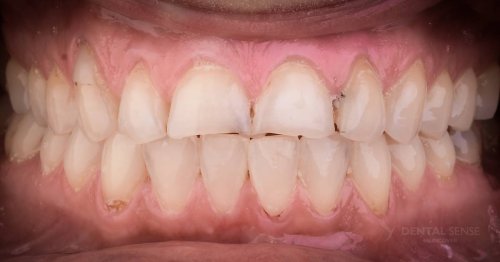
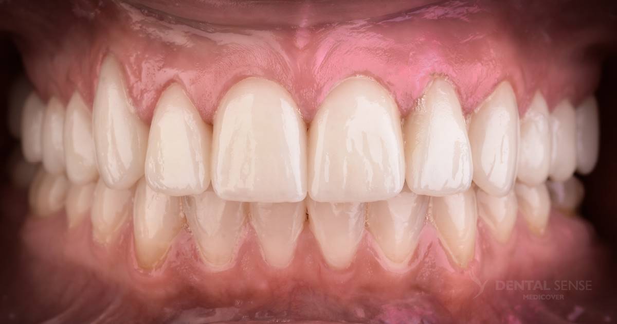
Benedicte trafiła do nas nie tylko z problemem zniszczeń wywołanych erozją zębów, ale również z ogromną dentofobią. Strach przed zabiegami stomatologicznymi był u niej tak duży, że podczas pierwszej wizyty pojawiały się łzy. Stanęliśmy przed podwójnym wyzwaniem – przywrócić uśmiech i pomóc pokonać lęk. Czy się udało? Wystarczy spojrzeć na zdjęcie z ostatniej wizyty!

DSM_Metamorfoza_012_IMG_01
PRZED
DSM_Metamorfoza_012_IMG_02
PO
DSM_Metamorfoza_012_IMG_03
PRZED
DSM_Metamorfoza_012_IMG_04
PO

Zespół

Zabiegi

Cena zabiegu

Ocena 2 z 5

Czas zabiegu

Ocena 3 z 5