Jesteś tutaj:

Metamorfoza Franka

Frank to wulkan niesamowitej energii. Do wyrażania pełni ekspresji brakowało mu tylko perfekcyjnego uśmiechu, który dopełniałby jego nietuzinkowego wizerunku. Zespół lek. dent. Łukasza Lassmanna poradził sobie z tym wyzwaniem i zwrócił Frankowi wspaniały uśmiech.

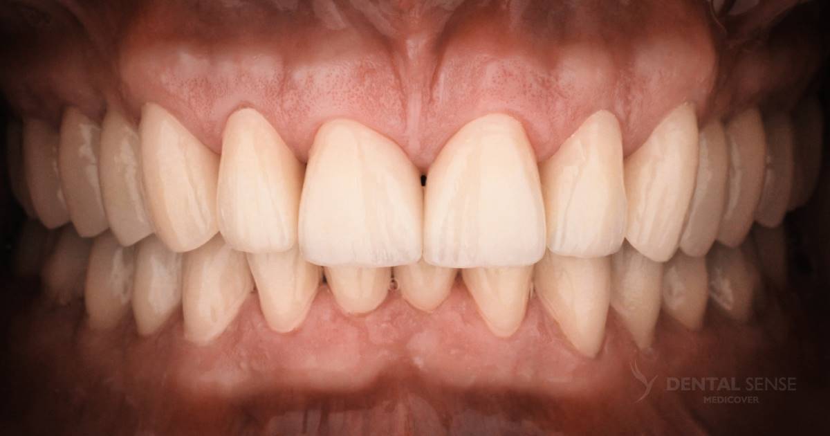
Przed
PRZED
DSM_Metamorfoza_001_IMG_02
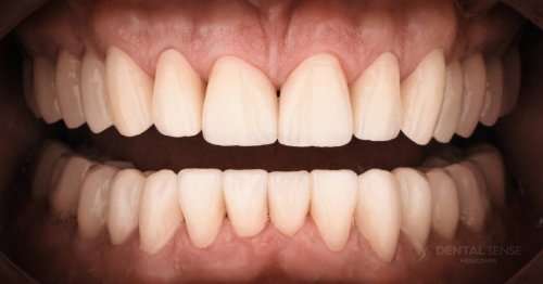
PO
DSM_Metamorfoza_001_IMG_03
PRZED
DSM_Metamorfoza_001_IMG_04
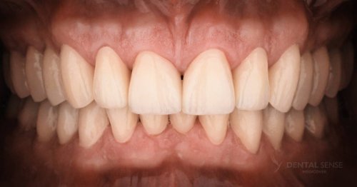
PO
DSM_Metamorfoza_001_IMG_05
PRZED
DSM_Metamorfoza_001_IMG_06
PO

Zespół

Zabiegi

Cena zabiegu

Ocena 3 z 5

Czas zabiegu

Ocena 3 z 5