Jesteś tutaj:

Metamorfoza Haralda

DSM_Metamorfoza_061_IMG_01
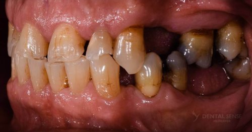
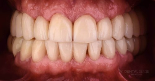
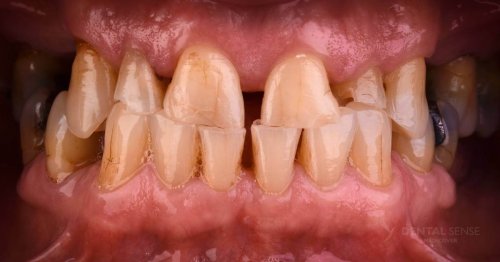
PRZED
DSM_Metamorfoza_061_IMG_02
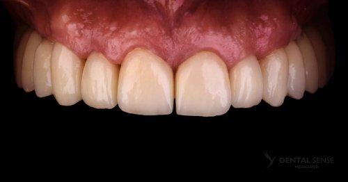
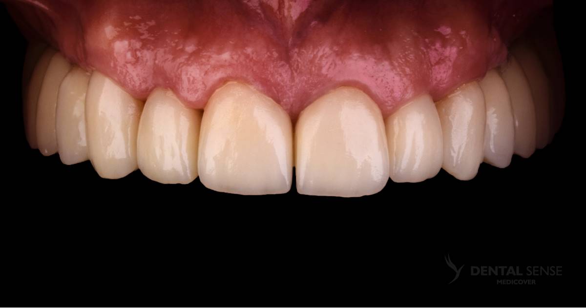
PO
DSM_Metamorfoza_061_IMG_03
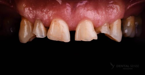
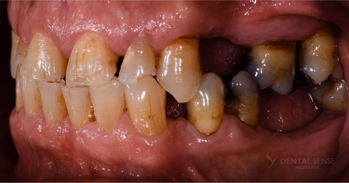
PRZED
DSM_Metamorfoza_061_IMG_04
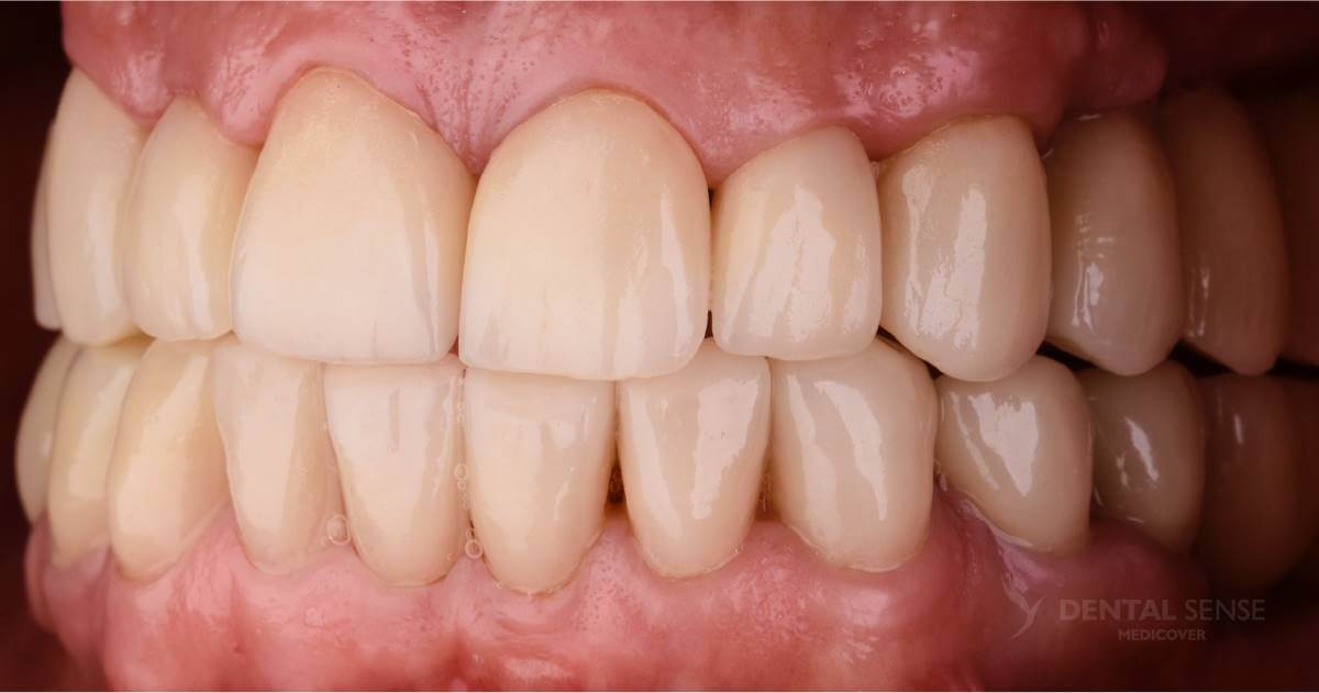
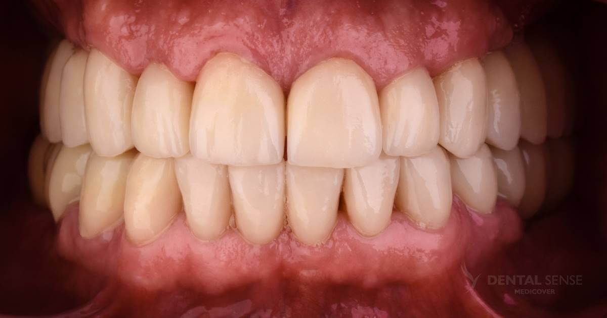
PO
DSM_Metamorfoza_061_IMG_05
PRZED
DSM_Metamorfoza_061_IMG_06
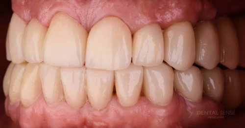
PO
DSM_Metamorfoza_061_IMG_07
PRZED
DSM_Metamorfoza_061_IMG_08
PO
DSM_Metamorfoza_061_IMG_09
PRZED
DSM_Metamorfoza_061_IMG_10
PO

Zespół

Zabiegi

Cena zabiegu

Ocena 3 z 5

Czas zabiegu

Ocena 3 z 5