Jesteś tutaj:

Metamorfoza Henninga

DSM_Metamorfoza_007_IMG_01
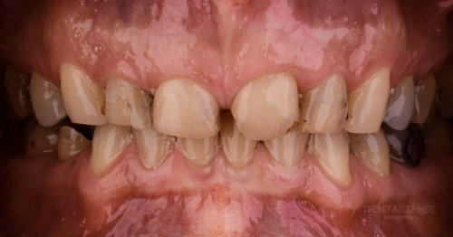
PRZED
DSM_Metamorfoza_007_IMG_02
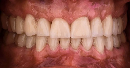
PO
DSM_Metamorfoza_007_IMG_03
PRZED
DSM_Metamorfoza_007_IMG_04
PO

Zespół

Zabiegi

Cena zabiegu

Ocena 3 z 5

Czas zabiegu

Ocena 3 z 5