Jesteś tutaj:

Metamorfoza Katarzyny

Metamorfozy naszych pacjentów są dla nas zawsze szczególnym powodem do dumy. Poznajcie historię przypadku Kasi i problemów z jakimi borykała się zanim trafiła w ręce naszego zespołu medycznego. Indywidualny plan leczenia i zastosowanie Digital Smile Design oraz licówek pomogło Kasi odzyskać piękny uśmiech.

DSM_Metamorfoza_011_IMG_01
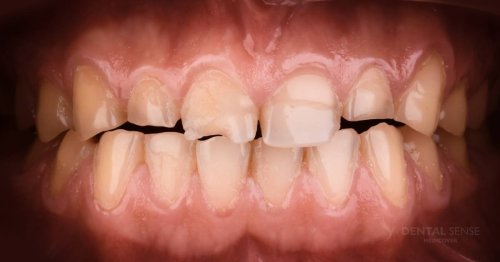
PRZED
DSM_Metamorfoza_011_IMG_02
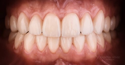
PO
DSM_Metamorfoza_011_IMG_03
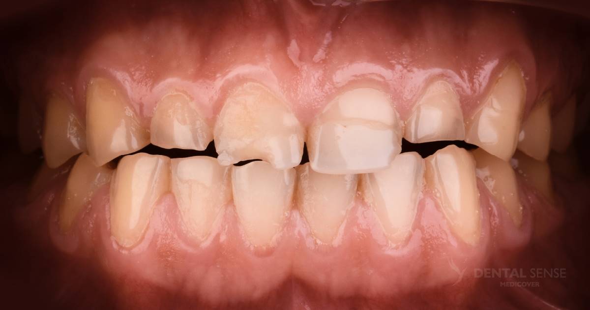
PRZED
DSM_Metamorfoza_011_IMG_04
PO
DSM_Metamorfoza_011_IMG_05
PO
DSM_Metamorfoza_011_IMG_06
PO

Zespół

Zabiegi

Cena zabiegu

Ocena 2 z 5

Czas zabiegu

Ocena 3 z 5