Jesteś tutaj:

Metamorfoza Katrin

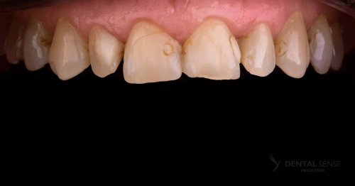
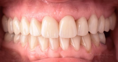
DSM_Metamorfoza_024_IMG_01
PRZED
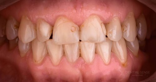
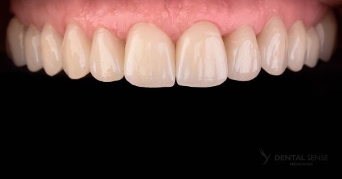
DSM_Metamorfoza_024_IMG_02
PO
DSM_Metamorfoza_024_IMG_03
PRZED
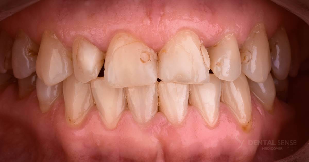
DSM_Metamorfoza_024_IMG_04
PO
DSM_Metamorfoza_024_IMG_05
PRZED
DSM_Metamorfoza_024_IMG_06
PO

Zespół

Zabiegi

Cena zabiegu

Ocena 3 z 5

Czas zabiegu

Ocena 2 z 5