Jesteś tutaj:

Metamorfoza Krzysztofa

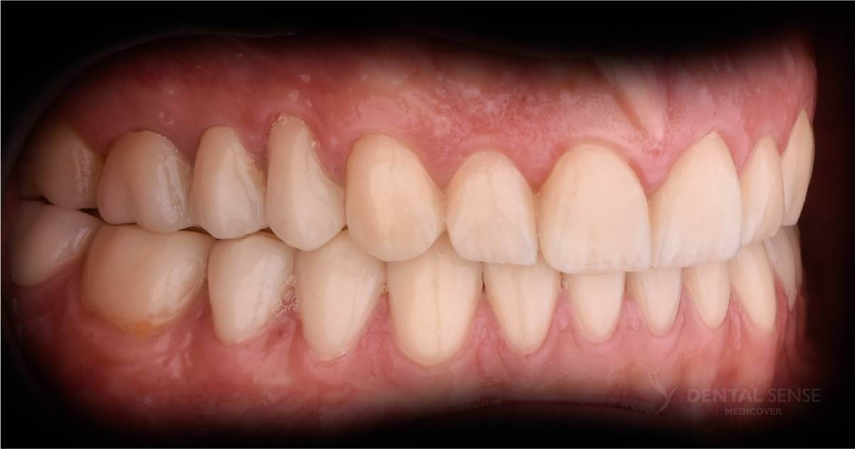
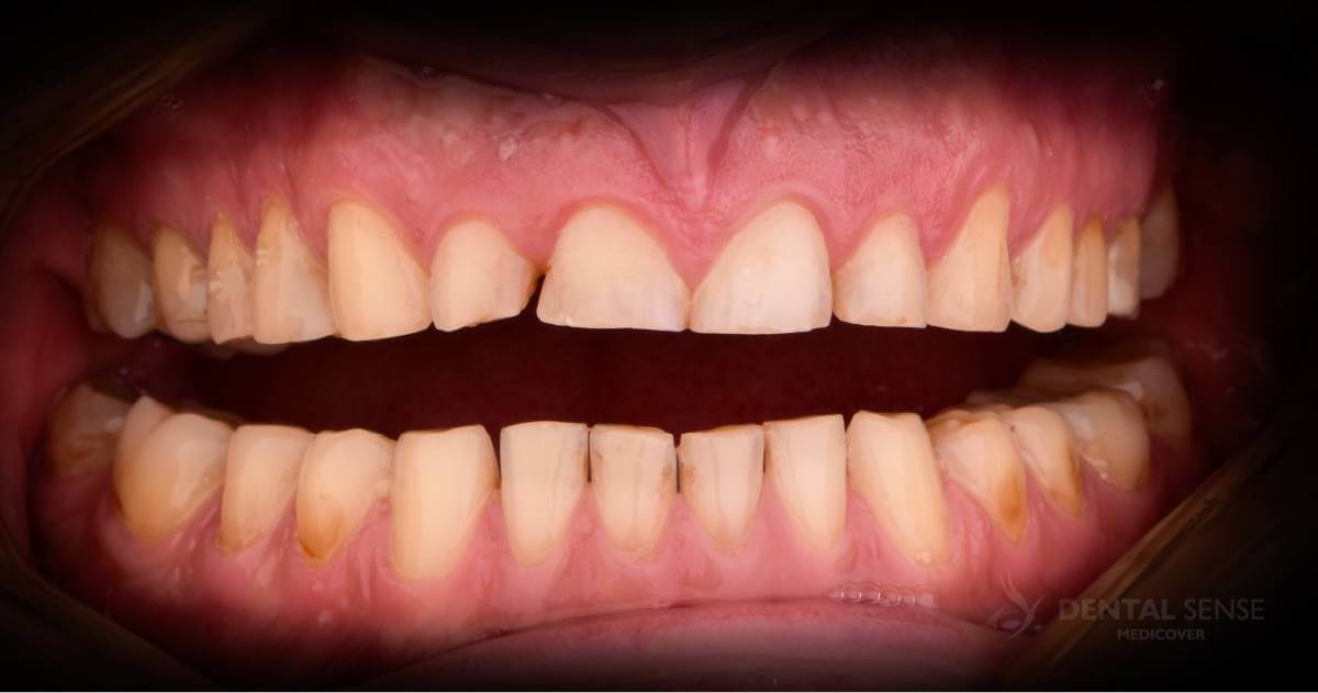
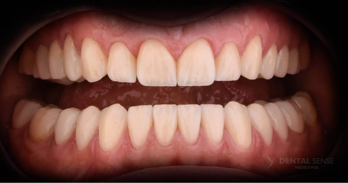
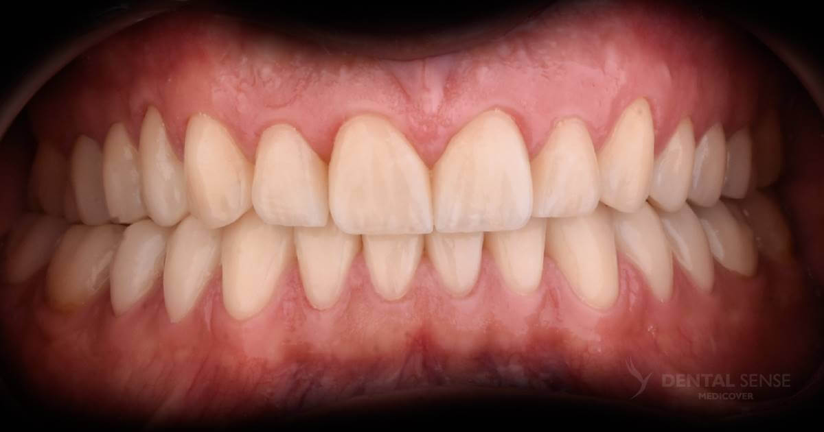
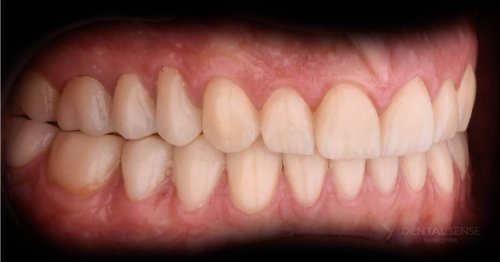
Na sukces trwałego leczenia stomatologicznego mają wpływ różne czynniki. Wielokrotnie opowiadaliśmy Wam o kompleksowym planowaniu, zgranej współpracy zespołu, czy precyzji, którą daje nam nowoczesna technologia. Ale dzisiejszy przypadek, to okazja aby wspomnieć o wytrwałości pacjentów w procesie leczenia i determinacji do zmian, bez której wiele metamorfoz byłoby niemożliwych do przeprowadzenia. Szczególnie wtedy, gdy na efekty leczenia trzeba trochę poczekać. Panu Krzysztofowi gratulujemy pięknego uśmiechu i zapewniamy, że na zdjęciach wygląda super!

DSM_Metamorfoza_105_IMG_01
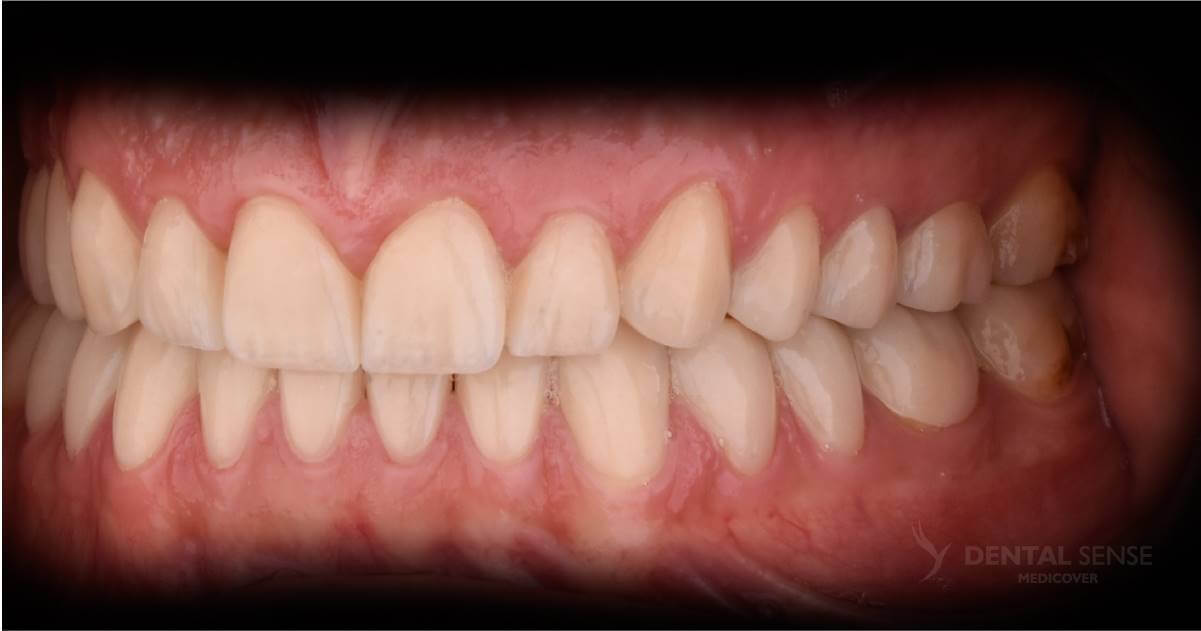
PRZED
DSM_Metamorfoza_105_IMG_02
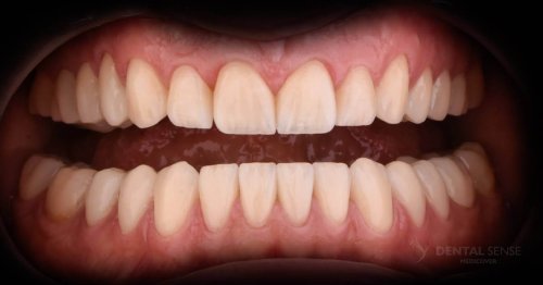
PO
DSM_Metamorfoza_105_IMG_03
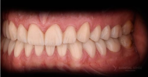
PRZED
DSM_Metamorfoza_105_IMG_04
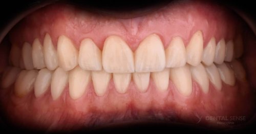
PO
DSM_Metamorfoza_105_IMG_05
PRZED
DSM_Metamorfoza_105_IMG_06
PO
DSM_Metamorfoza_105_IMG_07
PRZED
DSM_Metamorfoza_105_IMG_08
PO
DSM_Metamorfoza_105_IMG_09
PRZED
DSM_Metamorfoza_105_IMG_10
PO
DSM_Metamorfoza_105_IMG_11
PRZED
DSM_Metamorfoza_105_IMG_12
PO

Zespół

Zabiegi

Cena zabiegu

Ocena 3 z 5

Czas zabiegu

Ocena 5 z 5