Jesteś tutaj:

Metamorfoza Øysteina

DSM_Metamorfoza_062_IMG_01
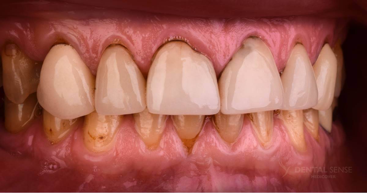
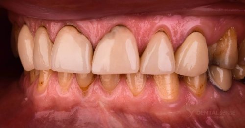
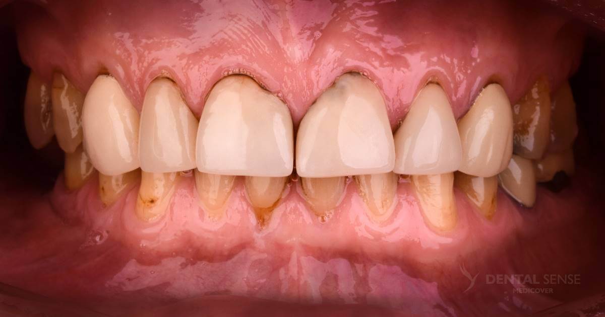
PRZED
DSM_Metamorfoza_062_IMG_02
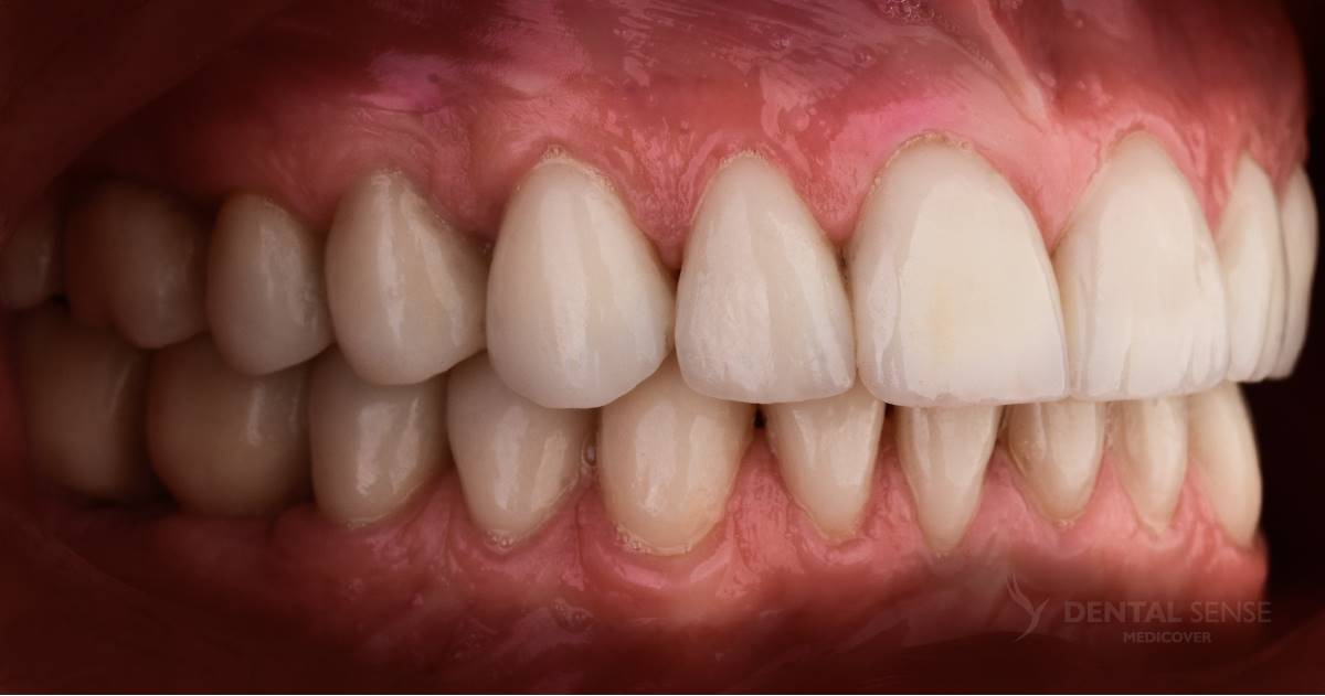
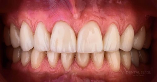
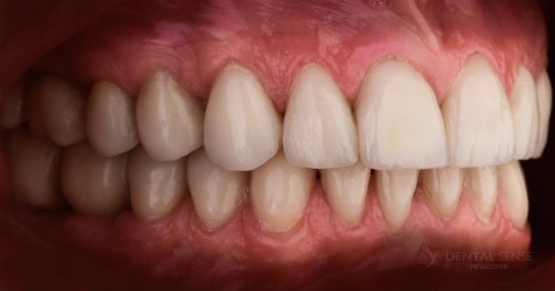
PO
DSM_Metamorfoza_062_IMG_03
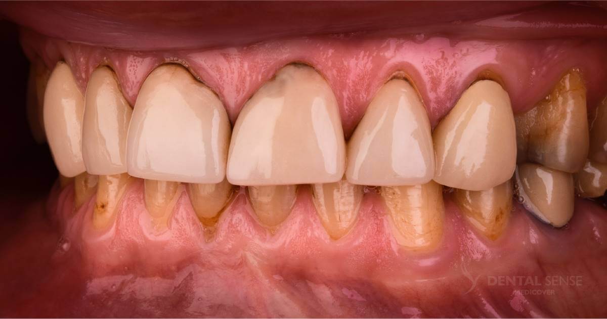
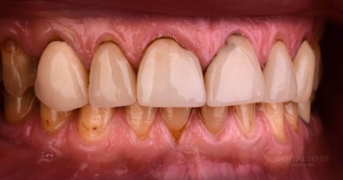
PRZED
DSM_Metamorfoza_062_IMG_04
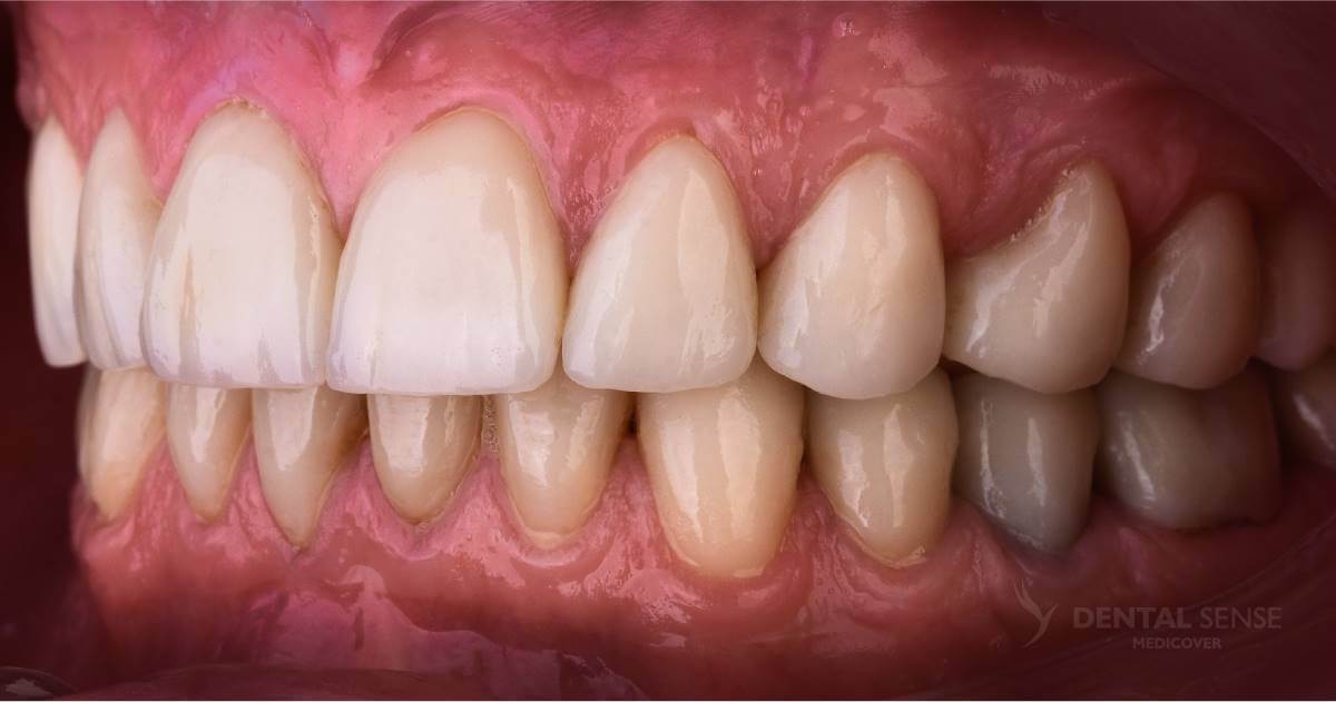
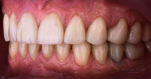
PO
DSM_Metamorfoza_062_IMG_05
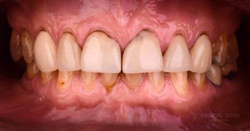
PRZED
DSM_Metamorfoza_062_IMG_06
PO
DSM_Metamorfoza_062_IMG_07
PRZED
DSM_Metamorfoza_062_IMG_08
PO

Zespół

Zabiegi

Cena zabiegu

Ocena 3 z 5

Czas zabiegu

Ocena 3 z 5