Jesteś tutaj:

Metamorfoza Ilja

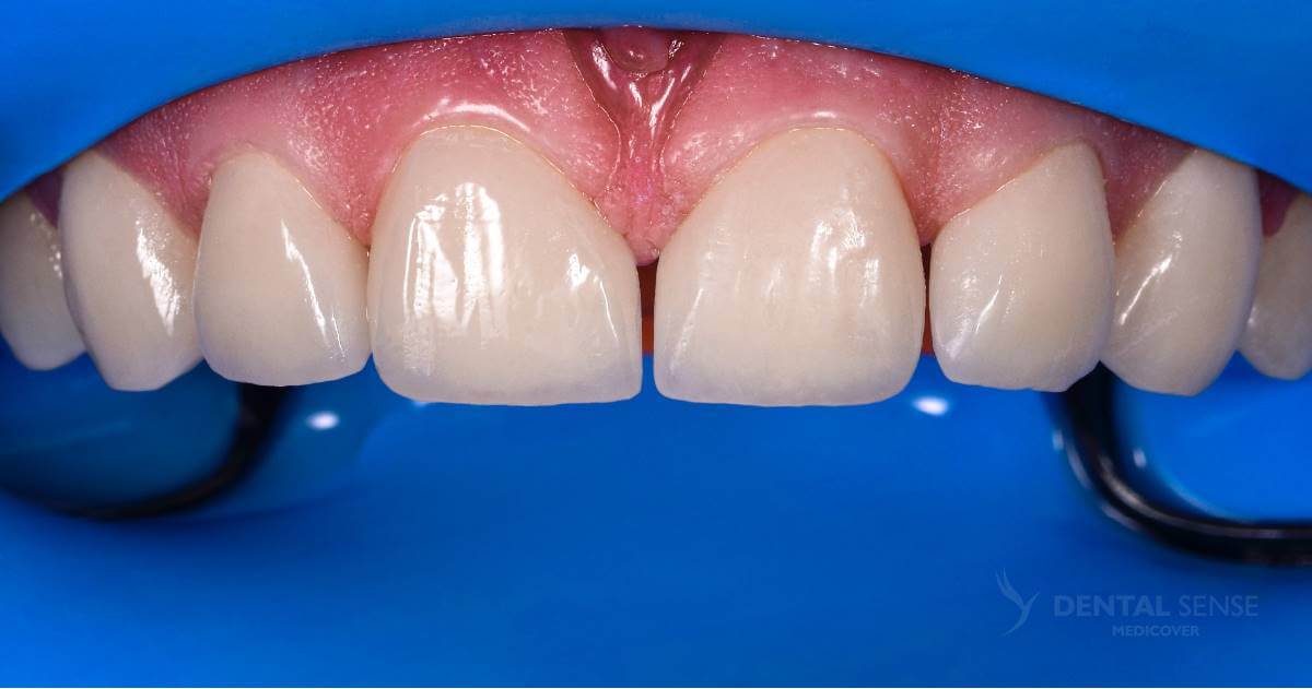
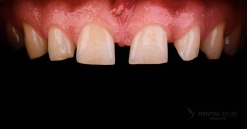
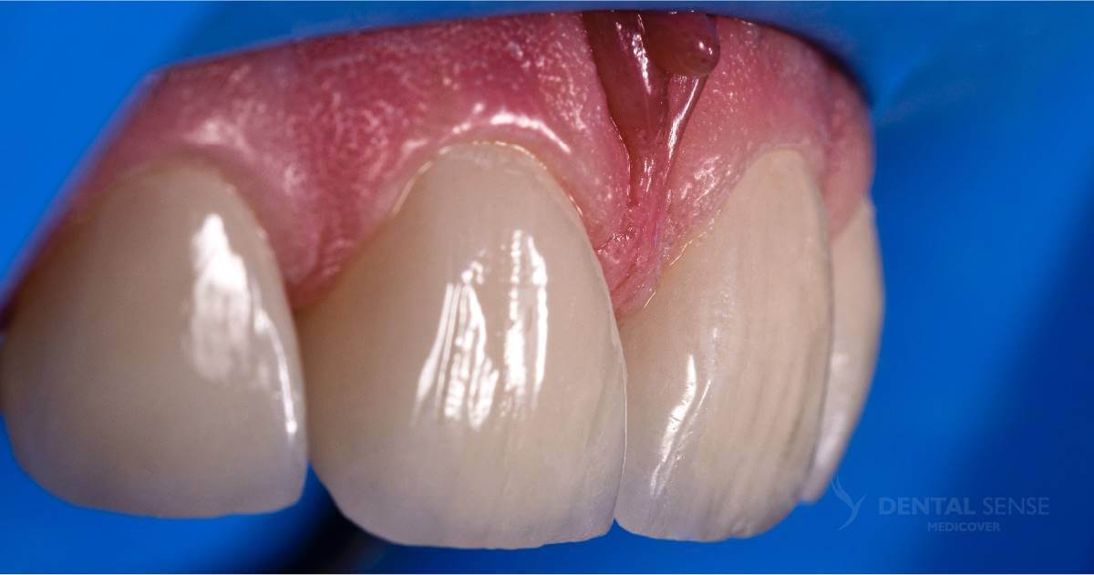
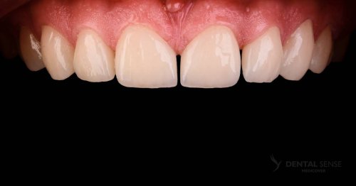
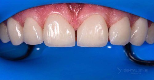
Diastema, czyli szpara między górnymi jedynkami nie zawsze jest wadą zgryzu, ale zdarza się, że bywa uciążliwa dla jej posiadacza, zwłaszcza jeśli szpary istnieją też pomiędzy pozostałymi zębami. Pacjentowi lek. dent. Łukasza Lassmanna zależało na ich zmniejszeniu, a tym samym na poprawie estetyki uśmiechu. Zastosowanie licówek pozwoliło nie tylko pozbyć się uciążliwych szpar, ale również uzyskać efekt równych, białych zębów. Zobaczcie sami!

DSM_Metamorfoza_060_IMG_01
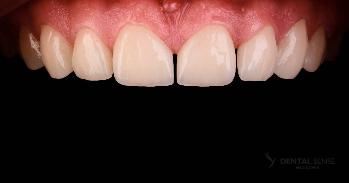
PRZED
DSM_Metamorfoza_060_IMG_02
PO
DSM_Metamorfoza_060_IMG_03
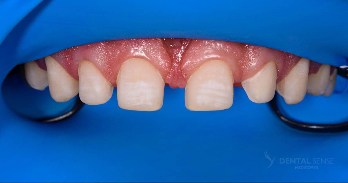
PRZED
DSM_Metamorfoza_060_IMG_04
PO
DSM_Metamorfoza_060_IMG_05
PRZED
DSM_Metamorfoza_060_IMG_06
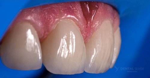
PO
DSM_Metamorfoza_060_IMG_07
PRZED
DSM_Metamorfoza_060_IMG_08
PO

Zespół

Zabiegi

Cena zabiegu

Ocena 3 z 5

Czas zabiegu

Ocena 2 z 5