Jesteś tutaj:

Metamorfoza Pala

DSM_Metamorfoza_010_IMG_01
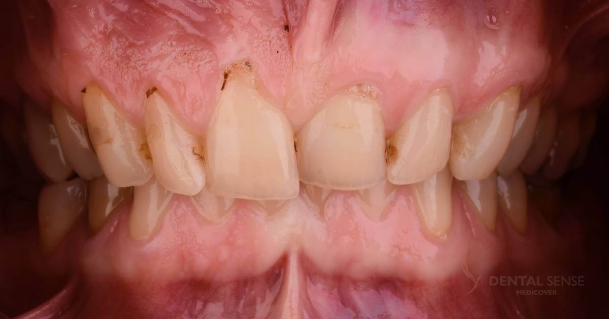
PRZED
DSM_Metamorfoza_010_IMG_02
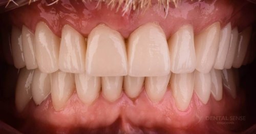
PO
DSM_Metamorfoza_010_IMG_03
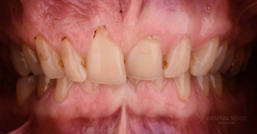
PRZED
DSM_Metamorfoza_010_IMG_04
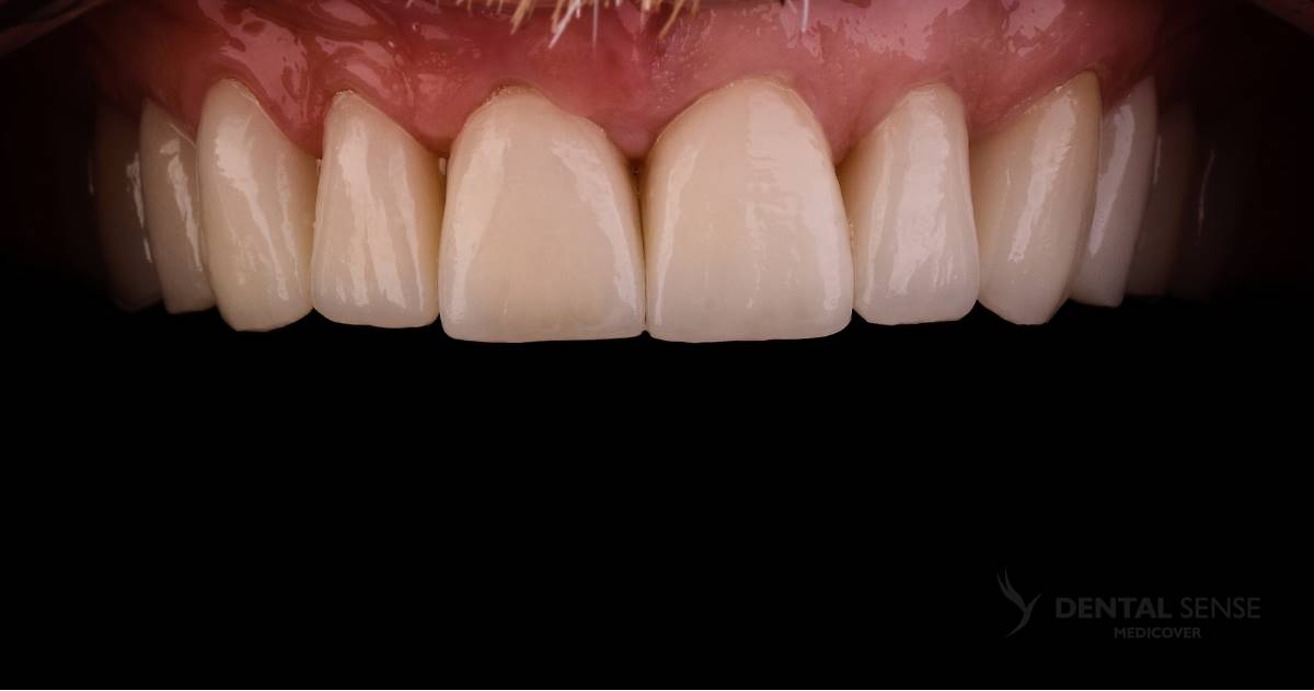
PO
DSM_Metamorfoza_010_IMG_05
PRZED
DSM_Metamorfoza_010_IMG_06
PO
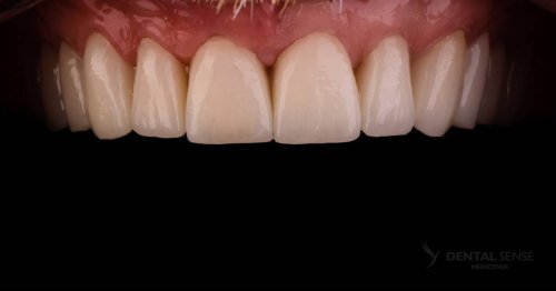
DSM_Metamorfoza_010_IMG_07
PO

Zespół

Zabiegi

Cena zabiegu

Ocena 3 z 5

Czas zabiegu

Ocena 3 z 5