Jesteś tutaj:

Metamorfoza Rian

DSM_Metamorfoza_018_IMG_01
PRZED
DSM_Metamorfoza_018_IMG_02
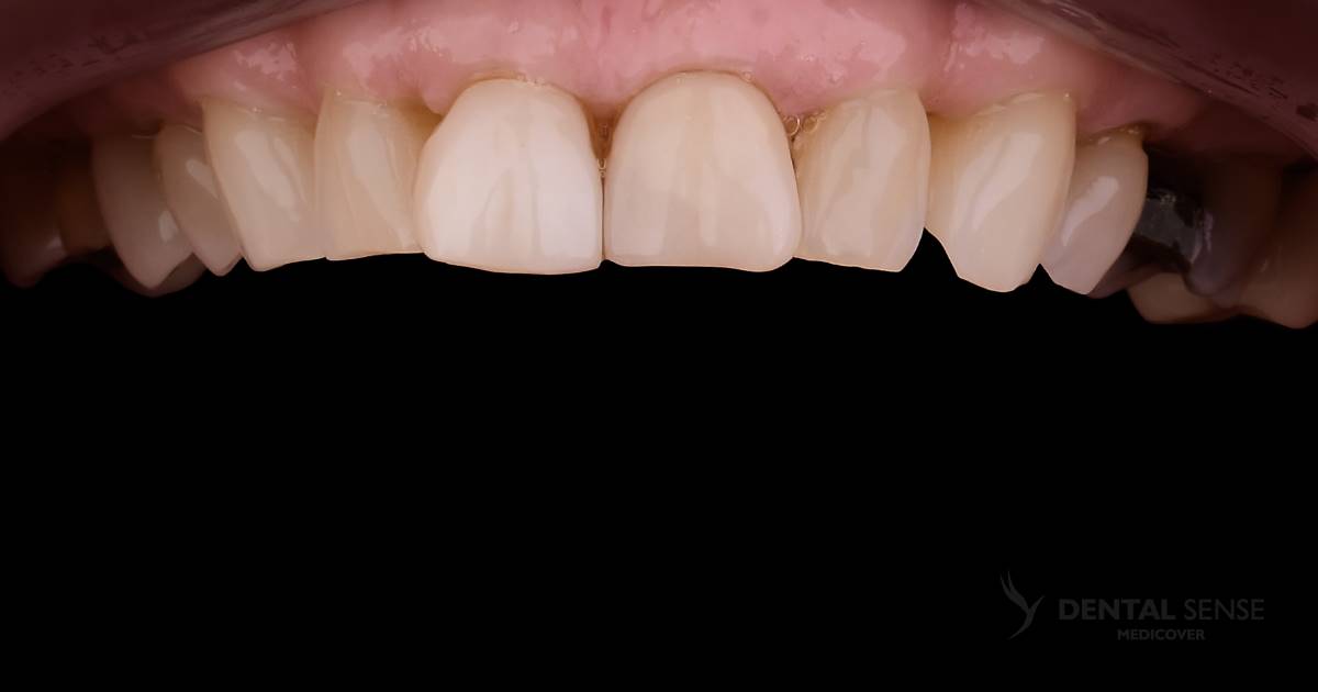
PO
DSM_Metamorfoza_018_IMG_03
PRZED
DSM_Metamorfoza_018_IMG_04
PO
DSM_Metamorfoza_018_IMG_05
PRZED
DSM_Metamorfoza_018_IMG_06
PO

Zespół

Zabiegi

Cena zabiegu

Ocena 3 z 5

Czas zabiegu

Ocena 3 z 5