Jesteś tutaj:

Metamorfoza Roya

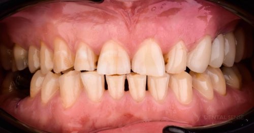
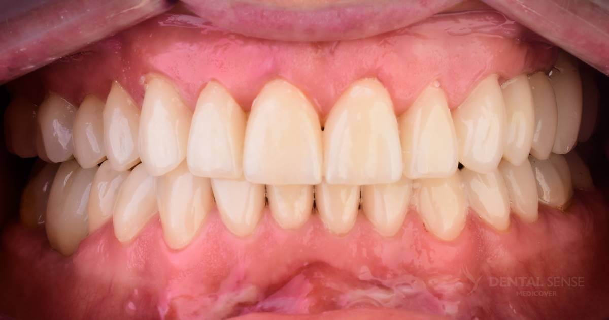
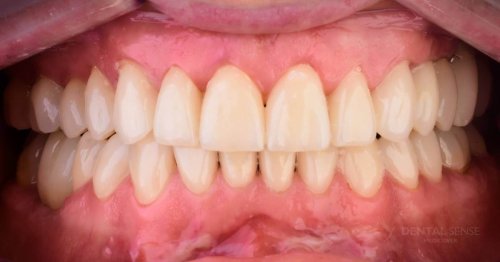
Metamorfoza Roya to nie tylko wyraźna poprawa efektu estetycznego. To przede wszystkim leczenie, które pozwoliło pacjentowi na powrót w pełni korzystać z siły zgryzu.

DSM_Metamorfoza_069_IMG_01
PRZED
DSM_Metamorfoza_069_IMG_02
PO
DSM_Metamorfoza_069_IMG_03
PRZED
DSM_Metamorfoza_069_IMG_04
PO

Zabiegi

Cena zabiegu

Ocena 4 z 5

Czas zabiegu

Ocena 4 z 5