Jesteś tutaj:

Metamorfoza Sławomira

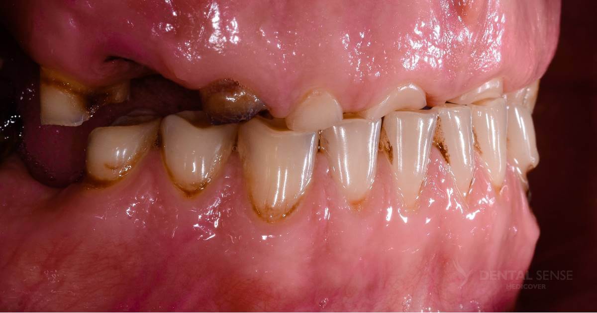
DSM_Metamorfoza_054_IMG_01
PRZED
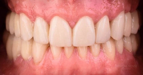
DSM_Metamorfoza_054_IMG_02
PO
DSM_Metamorfoza_054_IMG_03
PRZED
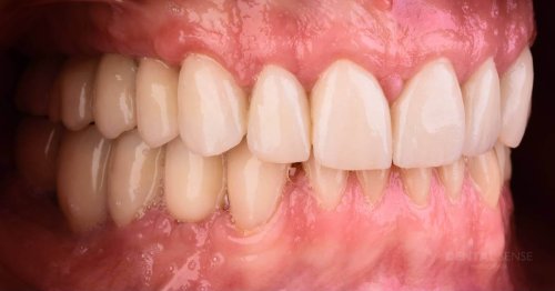
DSM_Metamorfoza_054_IMG_04
PO
DSM_Metamorfoza_054_IMG_05
PRZED
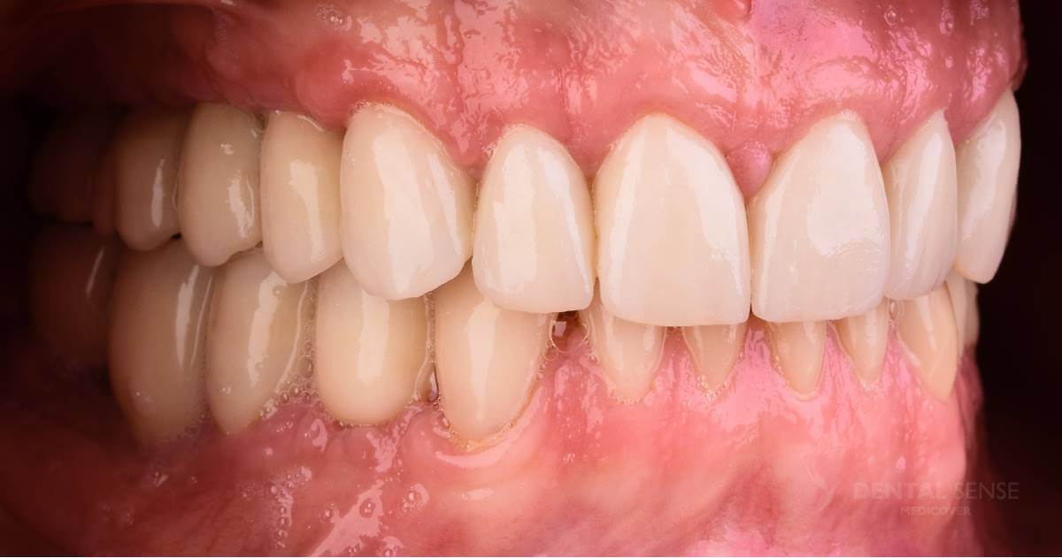
DSM_Metamorfoza_054_IMG_06
PO

Zespół

Zabiegi

Cena zabiegu

Ocena 5 z 5

Czas zabiegu

Ocena 5 z 5