Jesteś tutaj:

Metamorfoza Sveina

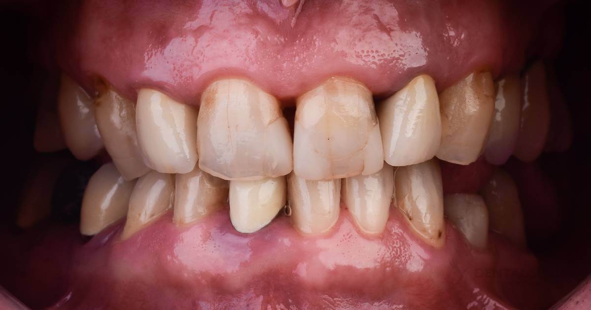
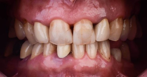
Często przyczyną startych i niepasujących do siebie zębów, są problemy związane z stawami skroniowo–żuchwowymi. Z takimi właśnie dolegliwościami zgłosił się do nas Svein. Zespół lek. dent. Anety Kilichowskiej rozpoczął leczenie od ustalenia prawidłowej pozycji żuchwy w stawie skroniowo–żuchwowym, by w kolejnych etapach móc wykonać pozostałe zabiegi estetyczne – korony i licówki.

DSM_Metamorfoza_035_IMG_01
PRZED
DSM_Metamorfoza_035_IMG_02
PO

Zabiegi

Cena zabiegu

Ocena 2 z 5

Czas zabiegu

Ocena 3 z 5