Jesteś tutaj:

Metamorfoza Thoril

DSM_Metamorfoza_015_IMG_01
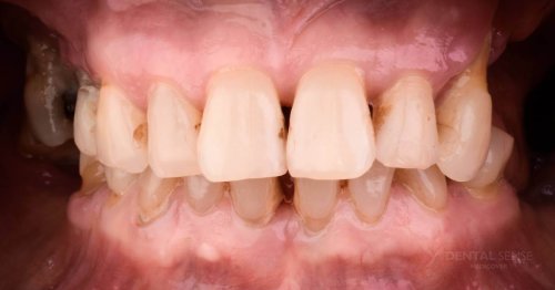
PRZED
DSM_Metamorfoza_015_IMG_02
PO
DSM_Metamorfoza_015_IMG_03
PRZED
DSM_Metamorfoza_015_IMG_04
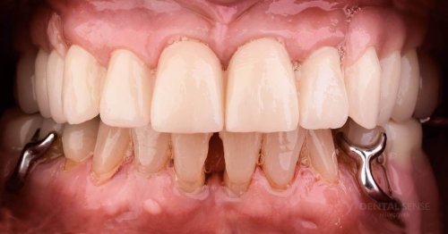
PO
DSM_Metamorfoza_015_IMG_05
PRZED
DSM_Metamorfoza_015_IMG_06
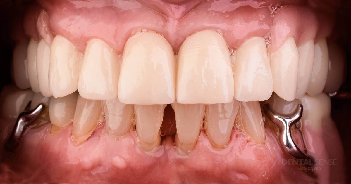
PO

Zespół